2004 IRISH SCIENTIST YEAR BOOK

Home Page

Table of contents

Index by Author

Index by topics

Search


Cork Cancer Research Centre & University College, Cork

Gerald C. O'Sullivan, Declan Soden, Sharon McKenna & Colum Dunne
Enhancing delivery and efficacy of anti-cancer drugs




The Cork Cancer Research Centre (CCRC) provides infrastructural resources and facilities to researchers focused on combating cancer. The objective of the Centre is to develop preventative measures and/or therapies for those patients who will benefit most from them. The Centre is unique in its multidisciplinary approach in addressing cancer research challenges, representing the physical manifestation of long-term collaborations between researchers based in University College Cork (UCC) and its Associated Teaching Hospitals. Physically, the CCRC is located in both the Mercy University Hospital, Cork and at the BioSciences Institute on the UCC campus. Through provision of financial support for complementary research programmes, the CCRC is also represented by scientists and physicians based in nearby university departments and other research centres.

Core activities at the CCRC include the study of genetic events associated with solid tumours and leukaemia, DNA methylation in cancer, detection of metastatic (secondary) disease, and the screening of 'at risk' individuals at a colon cancer prevention screening clinic based at the Mercy University Hospital in partnership with Dublin's Mater Hospital, all funded through the Irish Cancer Society and the Health Research Board. Additional funding for the centre has been obtained from the European Commission, the Higher Education Authority, Enterprise Ireland, corporate sponsors and philanthropists.


Figure 1. A flexible electrode mounted on a balloon catheter to facilitate contact with intra-luminal cancers (e.g., oesophageal) and the delivery of defined electrical pulses

The enhancement of anti-cancer therapy delivery, and subsequent efficacy, have been adopted as core strategic objectives at the CCRC. Enterprise Ireland, through its basic research programme and research innovation fund, has supported collaboration between the CCRC and the National Microelectronic Research Centre to develop medical devices capable of improving targeted delivery of potentially therapeutic drugs and genes to tumours. A prototype device is seen in Figure 1, where a flexible electrode has been mounted on a balloon catheter to facilitate contact with intra-luminal cancers (e.g., oesophageal) and the delivery of defined electrical pulses. This application of electrical pulses results in transient and reversible formation of 'pores', allowing entry of various molecules (DNA, siRNA, proteins and drugs) into the cells. This approach, which has been termed 'electroporation' or 'electrotherapy', and may also be mediated by microwave or ultrasound energy, will enhance the effectiveness of existing chemotherapies by allowing localized treatment of tumours (overcoming the detrimental effects of systemic drug therapy). It is likely that this approach will also invite the re-assessment of the many molecules considered unsuitable for systemic clinical use due to their high levels of toxicity, etc.



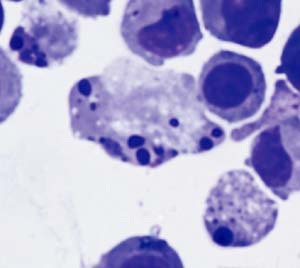
Figure 2. A comparison of tumour cells before
(A) introduction of therapeutic drugs,


and after
(B) the induction of apoptosis (cell death)


In a complementary initiative, the efficiency of anticancer drugs is being enhanced. Investigators at the CCRC, funded by the Irish Cancer Society and the Higher Education Authority, are examining the effects of treating human-derived oesophageal, colon, bladder, kidney and breast cancers with well-defined 'cocktails' of therapeutic and preventative pharmaceutical agents. The influences that these combinations exert on the growth rates of the tumours under laboratory conditions are, in some cases, dramatic (Figure 2) and may indicate new uses (or dosages) for certain drugs.


Figure 3. Measurement of mitochondrial transmembrane potential as an indicator of apoptosis. Cells were treated with specific COX-2 inhibitor, NS398, and labelled with a cationic dye. The dye enters into mitochondria and changes colour as the membrane becomes depolarised. Treated cells exhibit complete mitochondrial depolarisation indicating apoptosis (B), in comparison to control cells (A).

Further biochemistry, histopathology and genetic evaluation of this approach will determine the levels of expression of specific disease-associated genes, and how the gene products may be affected by the presence of the varying drug combinations. It is hoped that this rationale may provide evidence for the use of multi-faceted anti-cancer drug combinations that may overcome the current difficulties related to multi-drug resistance within tumour cell populations.


Contact: Professor Gerald O'Sullivan (Director) or Dr Colum Dunne (General Manager),
Cork Cancer Research Centre, Mercy University Hospital & BioSciences Institute, University College, Cork;
Tel: +353-(0)21-4271971; E-mail: [email protected] ; Web: www.ccrc.ie