2004 IRISH SCIENTIST YEAR BOOK

Home Page

Table of contents

Index by Author

Index by topics

Search


Department of Agriculture & Rural Development Northern Ireland

Michael Welsh, James McNair & John Pollock
Meeting the immunological challenges of Bovine Tuberculosis

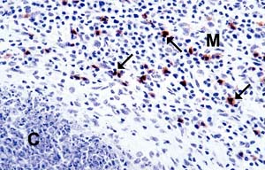
Figure 1. Immuno-labelling (brown) of gamma-delta T-cells associated with the lymphoid mantle (M) surrounding the core (C) of a developing lesion in tuberculosis

The Veterinary Sciences Division (VSD) within the Department of Agriculture and Rural Development (DARD) has a range of functions in support of the agri-food industry in Northern Ireland. The Bacteriology section addresses issues for the control of economically important diseases that are also important to human and animal health. Bovine Tuberculosis (TB) is one of the most economically significant disease control programmes within DARD's remit. A major area of research and development focuses on the improvement of bovine TB disease control strategies (diagnostic and vaccine immunology) with the aim of reducing its economic impact.

Bovine TB-infected cattle are identified using tests that measure an immune response. However, the interaction between the immune system and the bacterial agent causing bovine TB (Mycobacterium bovis) is extremely complex, involving responses towards an array of bacterial components, some of which are shared by other environmental bacteria. This complex immune interaction leads to significant diagnostic problems in terms of test sensitivity and specificity, and therefore understanding the mechanisms involved is crucial to improving disease control strategies.

Following infection with bovine TB, there is a progressive involvement of T-cells in the immune response (Figure 1). Using techniques such as flow cytometry (Figure 2), the immune system can be dissected to identify unique immunological responses. Currently, several leads are being followed up that have valuable potential for the enhancement of diagnostic sensitivity and vaccine immunology.



Figure 2. Forward/side scatter gating of immune cells (left); detection of fluorescent probe labelled activated and responding immune cells (at right, green) in bovine tuberculosis by flow cytometry


Work is continuing to meet the challenges of bovine TB infection, which benefits significantly from international collaborations. Additionally VSD's potential to deal with infectious diseases is being supported by investment to upgrade the facilities available to meet current and future challenges to support DARD's aims and objectives for the benefit of the Northern Ireland agri-food industry.


Contact: Dr Michael Welsh, TB Immunology, Veterinary Sciences Division,
Department of Agriculture and Rural Development, Stormont, Belfast BT4 3SD;
E-mail [email protected]