2006 IRISH SCIENTIST YEAR BOOK

Home Page

Table of contents

Index by Author

Index by topics

Search


National University of Ireland, Galway

Frank Barry
REMEDI - leading the way in stem cell and gene therapy research

The Regenerative Medicine Institute (REMEDI) is Ireland's leading centre in stem cell and gene therapy research. Established in 2004 as a Centre for Science Engineering and Technology with funding from Science Foundation Ireland and industry partners, REMEDI is fast becoming one of the leading centres in Europe in this area of research. REMEDI researchers share a vision for the development of new therapeutic technologies for the treatment of major diseases based on tissue regeneration � the use of cells and genes for repair and restoration of function � rather than surgical replacement. It is a broad and ambitious vision, requiring a large, multidisciplinary team of researchers. The REMEDI research team comprises scientists, physicians, surgeons, engineers, chemists, veterinarians and technologists all working together to bring this vision to reality.


The REMEDI team at their annual Scientific Retreat.

There are several characteristics of stem cells that make them unique in comparison to other mammalian cells. Firstly, they exist as unspecialised cells lacking tissue-specific characteristics and they maintain this undifferentiated phenotype until exposed to appropriate signals. Secondly, they have the capacity for extensive self-renewal. Thirdly, under the influence of specific biological signals they can differentiate into specialized cells with a phenotype fully distinct from that of the precursor. Mesenchymal stem cells (MSCs) in the bone marrow conform to this definition and are the focus of the stem cell research programme at REMEDI. These cells, as their name implies, are the precursors of cells of mesenchymal lineage, including cartilage, bone, fat, muscle and tendon.


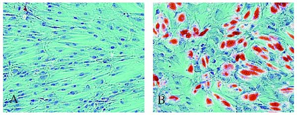
Human mesenchymal stem cells isolated from the bone marrow of a healthy volunteer grown in the laboratory (A) under conditions which keep them unspecialised ('undifferentiated') and (B) under conditions that cause them to 'differentiate' into fat cells.

At this point we have an incomplete understanding of the regulation of differentiation, commitment and plasticity of this cell population. We can identify a number of the signals that activate the cells to differentiate along specific cell pathways and we can describe the phenotype of the fully differentiated cells, but we understand little of the intermediate steps. As progress is made in the understanding of these cells, it is very likely that they will have therapeutic potential in a broad variety of clinical applications. MSCs can be easily isolated from a small sample of marrow and grown in the laboratory. The disadvantage of MSCs and other adult stem cells is that they have limited differentiation compared to embryonic stem cells. The advantage is that they present no ethical dilemma.

An informed public debate on the ethical, legal, scientific and medical issues surrounding the use of stem cells, particularly embryonic stem cells, is critical. REMEDI has an active public outreach programme which aims to promote and focus public debate relating to these questions. This includes a programme of public debates on these issues and their impact on Irish society.

Stem cells exist in adult tissues as a repair mechanism. Some degenerative diseases, where the ability to repair damaged tissues is reduced, may arise because these individuals have reduced populations of stem cells, or because they function poorly. For instance, scientists working at REMEDI have shown that people with chronic osteoarthritis have severely compromised bone marrow stem cells. This relatively new hypothesis which has become known as stem cell exhaustion , is attractive and may help us to understand more about these disease mechanisms. If it is correct, it may be that stem cell therapy, delivered early in life, will reduce susceptibility to degenerative disease later on.

At REMEDI we are committed to understanding the biology of stem cells in adult tissues and their therapeutic use in a variety of diseases. We are integrating this work with gene therapy approaches in a complementary research and development programme. The major therapeutic target is in the area of cardiovascular disease; however we are also conducting research in orthopaedic and neuronal diseases.


Postdoctoral researcher at work in the REMEDI lab.

We are especially committed to translating our research efforts to clinical use. For this reason we have established a stem cell and gene manufacturing facility for the preparation of materials for human use. Future efforts will involve clinical testing of stem cells in patients, subject to regulatory approval. These studies will be carried out in conjunction with University College Hospital Galway.


Contact: Ita Murphy
Communications and Outreach Manager
Regenerative Medicine Institute (REMEDI) & National Centre for Biomedical Engineering Science(NCBES)
National University of Ireland Galway
E-mail: [email protected]
Web www.remedi.ie