2006 IRISH SCIENTIST YEAR BOOK

Home Page

Table of contents

Index by Author

Index by topics

Search


Dublin Institute of Technology

Hugh J. Byrne
FOCAS on Team Research at DIT

In 2002 the Dublin Institute of Technology launched its Team Research Scheme (TERS) which promotes sustainable research teams and provides support for new research groupings in the institute meeting a criterion for interdisciplinary research. Two such teams have been established within the Focas Institute, founded in 2004 through the HEA Programme for Research in Third Level Institutions Cycle 1.


The INDICATE Team


Interdisciplinary Cancer Research Team

DIT's recently established Indicate team, housed in the Focas Institute, specialises in mechanisms of cancer induction and the development of novel diagnostic tools and therapeutic agents. Indicate draws together researchers from the Schools of Physics (H.J. Byrne, J. Walsh, A. Meade), Chemical and Pharmaceutical Sciences (M. McNamara) and Biological Sciences (H. Lambkin) and the Radiation and Environmental Science Centre (F.M. Lyng). The team are currently focussing on four main research areas.


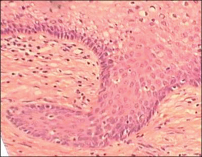
H&E stained cervical tissue section

The first area focuses on the potential of vibrational spectroscopy for the diagnosis of human tumours. To date, the research, undertaken by Eoghan � Faol�in, has shown that Raman spectroscopy can be used to accurately differentiate normal from tumour tissue. Multivariate analysis of the data sets has shown a prediction accuracy of close to 100%. The researchers are currently bringing this research towards a possible commercial product with the aid of an Enterprise Ireland Proof of Concept grant.


Spectral map of cervical tissue section

A related second area investigates the use of spectroscopy as a novel probe of cellular damage. A recently awarded Enterprise Ireland International Collaboration grant will allow a postgraduate researcher, Aidan Meade, to further develop this research at the University of Reims during 2006. Both research areas are part of the EU Special Support Action, DASIM, which incorporates teams from all over Europe investigating the diagnostic applications of spectroscopy.

In the third area, mechanisms of solar UV radiation damage in human skin cells are being investigated. An EU Marie Curie training fellowship will enable a postgraduate researcher, Alanna Maguire, to continue this research at the LIGHT laboratories, Leeds University, during 2006.

The final research area aims to chemically analyse medium from irradiated cells to identify the currently unknown "bystander" factor. This factor produced by irradiated cells can also affect unirradiated cells and as such could potentially be used as a novel therapeutic agent. This research is associated with an EU Integrated Project involving 12 other EU laboratories. For more details on any of these research areas, contact Dr Fiona Lyng at [email protected]



The Nano-tech@DIT Team
Nanotechnology Research


The Nano-tech@DIT group was established through TERS in 2005 and comprises several research groups working on nanotechnology based projects.

Nanotechnology is an umbrella term used to describe a number of processes, on a scale of 1 � 100nm. In essence it is an enabling technology rather than some tangible quantity. The explosion of nanotechnology-based research in the last decade has led to a vibrant and highly competitive research area. The focus for much of the research has been upon the application of nanotechnology in a wide range of industries, spanning the highly technical electronics sector to more traditional manufacturing sectors like the food industry. However, as nanotechnology moves out of the research laboratory and into the public domain, potential regulatory issues will emerge ranging from worker protection to environmental exposure and risks. Previous technologies such as biotechnology failed to consider these aspects and as a result experienced a considerable public backlash.

The Nano-tech@DIT group is thus taking a proactive approach to nanotechnology by the implementation of a strong nanotechnology educational program as well as the incorporation of nanotoxicology and risk assessment into the daily nanoscience practices at the institute.

Nano-toxicology is an emerging discipline evolving from studies of ultrafine particles and is one of the fastest growing areas of nanotechnology. DIT has in the past developed considerable experience in handling and characterising nano-particles and is now rapidly expanding its toxicology expertise to address the needs of the nanotechnology community as a whole.

The institute is also developing a strong nanotechnology educational program with the launch of Ireland's first undergraduate BSc in Science with Nanoscience in September 2006. This new program offers a unique interdisciplinary approach to science. The need for nanoeducation however extends beyond the development of a sufficient skills base for industry and so the group will also attempt to increase public awareness of nanotechnology in Ireland through a series of work-shops, surveys and its website. Details of this team are available at: www.nanotech.dit.ie or from Dr Gordon Chambers at [email protected]


Samples of nanotechnology activities at DIT


Contact: Dr Hugh J Byrne, Manager,
Focas Institute, Dublin Institute of Technology,
Camden Row, Dublin 8.
Tel: (01) 4027900
E-mail: [email protected]
Web: www.focas.dit.ie